

|
Κριτική της εργασίας |

![]()
΄΄ ΕΠΙΔΡΑΣΗ ΤΩΝ ΒΑΡΕΩΝ ΜΕΤΑΛΛΩΝ
(ΜΟΛΥΒΔΟΣ) ΣΤΗΝ ΥΓΕΙΑ ΤΟΥ ΑΝΘΡΩΠΟΥ ΄΄
΄΄ ΤHE EFFECT OF HEAVY METALS (LEAD) ON HUMAN HEALTH ΄΄
![]()
ΣΥΓΓΡΑΦΕΙΣ
ΣΑΧΙΝΙΔΗΣ ΣΥΜΕΩΝ ΖΕΜΠΕΚΑΚΗΣ ΠΑΝΤΕΛΗΣ
Φυσικός Ραδιοηλεκτρολόγος Επίκουρος Καθηγητής
Καθηγητής
ΔΕ Σερρών Α Παθολογικής AΧΕΠΑ του ΑΠΘ
ΚΕΜΕΤΖΗ
ΑΙΚΑΤΕΡΙΝΗ
Δ/ΝΤΡΙΑ ΠΑΙΔΙΑΤΡΟΣ ΚΥ
ΝΕΥΡΟΚΟΠΙΟΥ
![]()
Sachinidis Simeon
Zempekakis Pantelis
Physical Electronics Assistant Professor
of
Professor
Secondary Internal
education Serres Aristotle University of
Thessaloniki.
Kemetzi
Catherine
Director
of
![]()
ABSTRACT
Human activities have led, among other things, to widespread soil
contamination; thus, extensive ground areas have been affected by forms of
pollution, mainly heavy-metals pollution.
Heavy metals poison the organism, causing the split of cellular enzymes,
which act as catalysts of nutritious metals, such as magnesium, zinc. Toxic
metals repel nutritious substances; they block the receivers of nutritious
substances, causing diffused symptoms, since they influence the nerves, the
hormones, the digestion, and the immunological function.
![]()
Περίληψη
Οι ανθρώπινες δραστηριότητες συντέλεσαν και στην ρύπανση των εδαφών
σε μεγάλο ποσοστό, με αποτέλεσμα μεγάλες εκτάσεις γης να εμφανίζουν μορφές
ρύπανσης, κυρίως από βαρέα μέταλλα. Τα βαρέα μέταλλα δηλητηριάζουν τον οργανισμό
προκαλώντας την διάσπαση κυτταρικών ένζυμων, τα οποία δρουν ως καταλύτες των
θρεπτικών μετάλλων όπως το μαγνήσιο, ο ψευδάργυρος. Τα τοξικά μέταλλα
"κλωτσούν" τις θρεπτικές ουσίες και δεσμεύουν τους υποδοχείς των
θρεπτικών ουσιών, προκαλώντας συμπτώματα
που προέρχονται από την επιρροή τους σε νεύρα, ορμόνες, την πέψη, και την
ανοσιακή λειτουργία.
![]()
Εισαγωγή
Οι ανθρώπινες δραστηριότητες συντέλεσαν και στην ρύπανση των
εδαφών σε μεγάλο ποσοστό, με αποτέλεσμα μεγάλες εκτάσεις γης να εμφανίζουν
μορφές ρύπανσης, κυρίως από βαρέα μέταλλα. Τα βαρέα μέταλλα δηλητηριάζουν τον οργανισμό
προκαλώντας την διάσπαση κυτταρικών ένζυμων, τα οποία δρουν ως καταλύτες των
θρεπτικών μετάλλων όπως το μαγνήσιο, ο ψευδάργυρος και ασβέστιο. Αυτό έχει σαν
αποτέλεσμα να προκαλέσει στην ανθρώπινη υγεία μια σειρά από συμπτώματα πάνω στο
νευρικό , πεπτικό και ανοσοποιητικό σύστημα. Ο σκοπός της εργασίας είναι να
τονιστεί η σχέση μεταξύ συμπτώματος και
βαθμού τοξικότητας του μολύβδου .
![]()
Κυρίως Θέμα
Η ραγδαία ανάπτυξη της βιομηχανίας τα τελευταία χρόνια, έχει διασκορπίσει τον
Μόλυβδο παντού, όπως στον αέρα, στο νερό, στο έδαφος, στα φυτά και στα ζώα. Συνήθως συναντάμε το μόλυβδο σαν
πρόσθετο στη βενζίνη, στα τενεκεδάκια τροφίμων σαν συγκολλητικό (καλάι), σε μπογιές, σε καλλυντικά. Αυτός
είναι και ο λόγος που αποτελεί σοβαρή πηγή έκθεσης στα παιδιά και τους
ενήλικες. Μπορεί να βρεθεί στο έδαφος, στη σκόνη που επικάθεται στο έδαφος και
σε παλιές μπογιές και προπαντός κατά την αναπαλαίωση παλιών κτιρίων. Ο
μεταβολισμός του μολύβδου είναι πολύπλοκος και εξαρτάται από την ηλικία.
Το ανθρώπινο σώμα μπορεί να επηρεαστεί
από την χρόνια ή την οξεία έκθεση στον μόλυβδο. (ATSDR.,1993).
Υπάρχουν περιπτώσεις μικρά παιδιά που είναι στο στάδιο της εξερεύνησης,
μπορούν να πάρουν το μόλυβδο με το μάσημα κομματιών ξεφλουδισμένων φύλλων
μπογιάς ή από κατάποση σκόνης του σπιτιού ή του εδάφους που περιέχει μικρή
ποσότητα της μπογιάς, η οποία δυστυχώς περιέχει το μόλυβδο.
Τα βιοχημικά αποτελέσματα του μολύβδου στον οργανισμό ταξινομούνται σε τρεις
ομάδες:
1. Ο μόλυβδος είναι θετικά φορτισμένος και ως εκ τούτου παρουσιάζει
μεγάλη συγγένεια με τις αρνητικά φορτισμένες θειοϋδρικές ομάδες. Αυτό σημαίνει
ότι εξουδετερώνει τα ένζυμα εκείνα που εξαρτώνται από τις θειοϋδρικές ομάδες,
όπως είναι η δεϋδράση του δ - αμινολεβουλινικού οξέος και η σιδηροτσελατάση,
σημαντικά ένζυμα για τη βιοσύνθεση της αίμης.
2. Ο δισθενής μόλυβδος συμπεριφέρεται όπως το ασβέστιο και μιμεiται τη
δράση του σε διάφορα συστήματα, όπως εiναι η αναπνοή των μιτοχονδρίων, και στη
λειτουργiα των νευρικών ινών. Οι ομοιότητες μεταξύ του ασβεστiου και του
μολύβδου εξηγούν και το γεγονός γιατί ο μόλυβδος ανευρίσκεται στα οστά σε
ποσοστό 90%.
3. Ο μόλυβδος επηρεάζει τα δύο νουκλεϊνικά οξέα DNA και RNA με
μηχανισμούς, οι οποίοι αν και δεν είναι πλήρως γνωστοί πρέπει να έχουν σχέση με
το δισθενές ιόν του μολύβδου. Η δράση του μετάλλου επί των νουκλεϊνικών οξέων
είναι δυνατόν να έχει βιολογικές επιπτώσεις. Είναι γνωστό ότι τόσο ο ανόργανος
όσο και ο οργανικός μόλυβδος έχουν καρκινογόνο δράση στα πειραματόζωα, χωρίς
όμως αυτό να έχει αποδειχθεi επαρκώς για τον άνθρωπο. ( Ιατρονέτ).
Η
πρόσληψη του μολύβδου από τον οργανισμό
γίνεται με εισπνοή ή με κατάποση ή από το δέρμα. Τα παιδιά προσλαμβάνουν τον
μόλυβδο ευκολότερα απ' ότι οι ενήλικες
μετά από έκθεση σε αυτόν.
Το
φάσμα συμπτωμάτων είναι μεγάλο και προέρχεται από το Κεντρικό και Περιφερικό
Νευρικό Σύστημα, το Γαστρεντερικό, το Αίμα, το σκελετό, το Καρδιαγγειακό, και
τα Νεφρά.
Στη περίπτωση που ο μόλυβδος εισέλθει στον οργανισμό μετά από κατάποση
εύκολα απορροφάται από το αίμα. Κυκλοφορεί με τη ροή του αίματος και διανέμεται
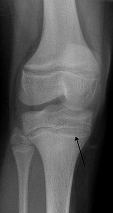
πρωταρχικά στους μαλακούς ιστούς (νεφρά, εγκέφαλος) και στα οστά. Εικόνα 1.
Εικόνα
1.Ακτινογραφία με χαρακτηριστικό εύρημα της δηλητηρίασης από μόλυβδο. Παρουσία
γραμμών αυξημένης πυκνότητας κατά την μετάφυση των οστών στα μικρά παιδιά.
Στους ενήλικες το 95% του ποσοστού του μολύβδου
στον οργανισμό τους εναποτίθεται στα
οστά, ενώ αντιθέτως στα παιδιά το ποσοστό αυτό είναι της τάξης του 73% .(EPA., 1986).
Όσο αφορά στην τοξικότητα του μολύβδου , σήμερα δεν αναγνωρίζεται
κάποιο χαμηλότερο επίπεδο ασφάλειας στο αίμα. Ο μόλυβδος παρεμβαίνει στο
μεταβολισμό του σιδήρου και του ασβεστίου, σε μοριακό επίπεδο ενώνεται με
σουλφυδρικές και άλλες ομάδες, και επεμβαίνει στη λειτουργία ορισμένων ενζύμων.
Η τοξική επίδραση του μολύβδου εξαρτάται από τον χρόνο και την διάρκεια
έκθεσης, από την ηλικία και από την κατάσταση υγείας του παιδιού.
Τα συμπτώματα της δηλητηρίασης από μόλυβδο παρουσιάζονται σε δύο κατηγορίες
ανάλογα με τα επίπεδα του μολύβδου στο αίμα.
Πίνακας 1
|
Συμπτώματα
από την τοξική επίδραση του Μολύβδου |
|
|
Χαμηλό επίπεδο |
Υψηλό επίπεδο |
|
Ελλειμματική
προσοχή Προβλήματα
συμπεριφοράς Μαθησιακές
δυσκολίες Μείωση του δείκτης
νοημοσύνης. |
Πόνο στην
κοιλιά Πονοκέφαλος Σύγχυση Εμετό Μυϊκή αδυναμία Σπασμοί. Θάνατος |
Πίνακας 1. Συμπτώματα από την τοξική
επίδραση του Μολύβδου
Το Νευρικό Σύστημα είναι πιο ευάλωτο στην έκθεση του ατόμου στο μόλυβδο,
ιδιαίτερα στα έμβρυα και τα μικρά παιδιά που ο εγκέφαλος τους ευρίσκεται σε
συνεχή εξέλιξη και ο φραγμός αίματος-εγκεφάλου είναι ελλειπής. Η δηλητηρίαση
από μόλυβδο μπορεί να διαγνωστεί με εξετάσεις αίματος και ούρων. Τα επίπεδα του
μολύβδου στο αίμα μετρώνται σε μικρογραμμάρια ανά δέκατο λίτρου (μg / dL).
Στα παιδιά η οξεία έκθεση με επίπεδα 70-80 μg / dL μπορεί να προκαλέσει εγκεφαλοπάθεια που εκδηλώνεται με υπερδιεγερσιμότητα ή απάθεια
,κεφαλαλγία ,μυϊκούς πόνους, αταξία, σπασμούς, καταπληξία, κώμα και θάνατο.
Σήμερα αποδεκτά επίπεδα παγκόσμια είναι το 10 μg / dL.
Επίπεδα πάνω από αυτά μπορεί να
επιφέρουν μόνιμες βλάβες . Αυτό
ονομάστηκε «επίπεδο δράσης» (Action level).
Σε παιδιά 6-12 χρονών παρατηρήθηκαν δυσκολίες στη αριθμητική και
στην ανάγνωση σε επίπεδα <5 μg / dL.
Μερικές από τις νευρολογικές επιδράσεις του μολύβδου συνεχίζουν να
υπάρχουν και όταν το παιδί γίνεται
ενήλικας. Ο μόλυβδος ευθύνεται για το Σύνδρομο Ελλειμματικής Προσοχής με ή
χωρίς Υπερκινητικότητα. (Todd A. et al.,,2008).
Για τα παιδιά και ενήλικες με σχετικά χαμηλά επίπεδα μολύβδου, η
απλή αποφυγή της έκθεσης μπορεί να οδηγήσει σε μείωση των επιπέδων μολύβδου στο
αίμα. Μη ασφαλής θεωρείτε οποιαδήποτε τιμή πάνω από 10 μg / dL.
Στους ενήλικες, τα συμπτώματα μπορούν να εμφανιστούν σε επίπεδα
άνω των 40 μg / dL, αλλά είναι πιο πιθανό να εμφανιστούν πάνω από 50-60 μg / dL
μολύβδου στο αίμα.
Συγκεντρώσεις μολύβδου στο αίμα μεγαλύτερες από 70 μg/dL προκαλούν
αναιμία η οποία χαρακτηρίζεται από μείωση των επιπέδων αιμοσφαιρίνης και
ερυθροποιητίνης - καθώς και μικρότερη διάρκεια ζωής των ερυθρών αιμοσφαιρίων.(Goyer, R.A. Lead.In.,1988)
, (EPA.,1988).
Όταν το επίπεδο του μολύβδου ανέλθει στο αίμα άνω των 100 μg / dL , το άτομο
παρουσιάζει την εγκεφαλοπάθεια από
μόλυβδο, που χαρακτηρίζεται από οίδημα εγκεφάλου , με
αυξημένη πίεση στον εγκέφαλο
, σύγχυση , κεφαλαλγία, σπασμούς,
κώμα κλπ. (Canfield RL et al.,,2003)
Εικόνα 2.Απεικόνιση
εγκεφάλων ενηλίκων που εκτέθηκαν σε μόλυβδο.
Οι εγκέφαλοι των ενηλίκων που είχαν εκτεθεί σε μόλυβδο, όπως τα
παιδιά παρουσιάζουν μείωση του όγκου, ιδιαίτερα στον προμετωπιαίο φλοιό , όπως φαίνεται σε μαγνητική τομογραφία (Εικόνα 2). Areas of volume loss are shown in color over a template of
a normal brain. Απαααα Απεικονίζεται η απώλεια περιοχών με το χρώμα πάνω από ένα
πρότυπο φυσιολογικού εγκεφάλου.
Στα παιδιά σημάδια εγκεφαλοπάθειας, όπως η περίεργη συμπεριφορά,
σύγχυση, και απάθεια εμφανίζονται όταν το επίπεδο μολύβδου στο αίμα υπερβαίνει τα 70 μg / dL.
Τα στοιχεία δείχνουν ότι η
έκθεση στο μόλυβδο συσχετίζεται με υψηλή αρτηριακή πίεση , στεφανιαία καρδιακή νόσο , μεταβλητότητα του
καρδιακού ρυθμού ,
και θάνατο από εγκεφαλικό επεισόδιο . Αυτό προκύπτει και από μελέτες . Είναι δυνατόν ο μόλυβδος υπάρχει σε μορφή
σκόνης στον αέρα. Ειδικότερα κατά τις μέρες που το όζον και τα αιωρούμενα σωματίδια
είναι σε υψηλό επίπεδο ρύπανσης,
έχουμε μία απότομη αύξηση των καρδιοπαθειών και των εγκεφαλικών.(Sachinidis S et al.,,2009)
![]()
Συμπεράσματα
Η τοξική επίδραση του
μολύβδου στον οργανισμό μπορεί να
επιφέρει σοβαρές και μόνιμες βλάβες στον οργανισμό του ανθρώπου. Η τοξικότητα
του μολύβδου θα πρέπει να αναγνωρισθεί και να αντιμετωπισθεί με σοβαρότητα. Να
τονισθεί η τοξική απειλή των βαρέων μετάλλων
στην δημόσια υγεία. Θα πρέπει να θεσπιστούν πρόσθετοι περιορισμοί
στην χρησιμοποίηση του μολύβδου σε διάφορα υλικά , παιχνίδια κλπ. ακόμη και στη πρόσμιξή του με βενζίνη. Θα πρέπει η πολιτεία
να θέσει σε δράση διάφορες πολιτικές αποφυγής και επεξεργασίας,( μέτρα
αντιρρύπανσης), προκειμένου να μειωθεί
να μειωθεί η τοξική επίδραση του μολύβδου στην υγεία του ανθρώπου.
![]()
Βιβλιογραφία
ATSDR (Agency for
Toxic Substances and disease Registry). Toxicological Profile for Lead. Update.
Prepared by Clement International Corporation 1993.
Canfield RL, Henderson CR Jr, Cory-Slechta DA, Cox C, Jusko TA, Lanphear BP. Intellectual impairment in children with
blood lead concentrations below 10 microg per deciliter. N Engl J Med. 2003.
Goyer, R.A. Lead. In: Handbook on Toxicity of
Inorganic Compounds. H.G. Seiler and H. Sigel, eds. Marcel Dekker, Inc.:
Sachinidis S.,
Zempekakis P.,Kemetzi C. The role of
Atmosferic Particulate Matter and Ozone
in climate. The impacts on the Human Health. Δημοσίευση σε επιστημονικό περιοδικό "C.V.P. ΙΑΤΡΙΚΗΣ" εκδοτικού οίκου ‘’VIPAPHARM’’ http://www.scientific-journal-articles.com/ 12-11-2009.
Todd A. Jusko;
Charles R. Henderson Jr.; Bruce P. Lanphear; Deborah A. Cory-Slechta; Patrick
J. Parsons; Richard L. Canfield ,Blood Lead Concentrations < 10 mug/dL and Child Intelligence at 6
Years of Age. National Institute of Environmental Health Sciences.2008 .
http://www.iatronet.gr/article.asp?art_id=346&pr=1.
![]()
![]()
© Copyright-VIPAPHARM. All rights reserved

![]()
web hosting and internet marketing by Siteowners Ltd